L’alluce valgo è una delle deformità più comuni del piede e può causare dolore, difficoltà a indossare alcune scarpe e alterazioni della camminata. Capire come si sviluppa, quali sono i sintomi e quando è davvero necessario intervenire è fondamentale per scegliere il trattamento più adatto.
Cos’è l’alluce valgo?
L’alluce valgo è una deformità progressiva del piede che si manifesta con la deviazione mediale del primo metatarsale e deviazione laterale della prima falange verso le altre dita.
Questa anomalia crea una sporgenza ossea, comunemente chiamata “cipolla”.

Tale deviazione non solo provoca dolore e difficoltà a calzare le scarpe, ma altera anche la biomeccanica del passo: l’alluce, fondamentale per la spinta e l’equilibrio, perde in parte la sua funzione di “direttore d’orchestra” della deambulazione.
Ciò provoca un sovraccarico delle dita adiacenti e della pianta del piede, con possibili conseguenze, come la formazione di calli dolorosi (metatarsalgia) e dita incurvate (dita a martello).
L’alluce valgo è la prima causa di chirurgia del piede nella donna e la seconda nell’uomo.
Quali sono le cause dell’alluce valgo?
La causa maggiore e non modificabile è genetica. Non esiste un gene specifico dell’alluce valgo, ma esiste una forte componente di familiarità che predispone a questa deformità.
Sintomi dell’alluce valgo
L’alluce valgo è una patologia complessa. Trattandosi di una deformità multiplanare, i segnali di allarme non riguardano solo la deviazione laterale (verso le altre dita), ma anche la rotazione dell’alluce.
I sintomi possono manifestarsi a vari livelli.
Sintomi primari a livello dell’alluce
- Borsite e infiammazione: la sporgenza ossea (la “cipolla”) è soggetta a sfregamento con le calzature, causando infiammazione cronica e borsite, ovvero una sacca infiammata che provoca dolore e arrossamento.
- Rotazione (multiplanarietà): la rotazione del dito può causare problemi all’unghia (come onicopatia), che può incarnirsi o diventare più scura. Spesso questi sintomi non traggono beneficio dalle comuni cure dermatologiche.
- Callosità compensatorie: a causa della metatarso-falangea deformata e inefficiente, le articolazioni adiacenti (tra le falangi) sono costrette a iperfunzionare. Ciò si traduce nella formazione di un callo tra falange e falange, un segno del tentativo di compensazione da parte del piede.
Anche se i sintomi sono lievi, è importante valutare subito la patologia e le terapie più adeguate.
Cosa succede se non si cura l’alluce valgo?
La risposta è che dipende: non sempre l’evoluzione è drammatica.
Per questo è fondamentale, con l’aiuto di uno specialista, distinguere gli alluci che necessitano di attenzione e monitoraggio attivo da quelli che possono essere considerati “stabili”.
In generale, l’intervento chirurgico è un’opzione che si valuta quando la patologia risponde ad almeno tre dei seguenti quattro criteri fondamentali:
- Fa male: il dolore è significativo e limita le attività quotidiane.
- Limita nelle calzature: la deformità impedisce di indossare la maggior parte delle scarpe.
- Evolve: La deformità è instabile e progressiva.
- Non piace: Il fattore estetico è fonte di disagio per il paziente.
Sebbene avere due di questi criteri sia un segnale da valutare, la vera chiave decisionale è l’evolutività.

Il percorso di diagnosi
L’imaging serve per studiare in dettaglio la deformità dell’alluce valgo e comprendere quale sia la cura più appropriata, se conservativa o chirurgica, sulla base dell’evolutività.
Deve includere: una radiografia dei piedi IN CARICO, meglio se bilaterale. È fondamentale che le radiografie siano eseguite in carico (stando in piedi) per studiare l’anatomia mentre lavora, e bilaterale, perché i due piedi sono spesso simili anche se solo uno fa male, offrendo informazioni preziose per il confronto.
I rimedi per l’alluce valgo
Partiamo dal presupposto che il rimedio più efficace in caso di un alluce valgo “doloroso” è correggerlo chirurgicamente, e oggi esistono tecniche chirurgiche assolutamente affidabili e a bassa invasività.
La tecnica migliore, secondo i dati della letteratura, è la M.I.C.A. (mini-invasiva di terza generazione).
Questa è una tecnica che io e la nostra equipe utilizziamo, così come utilizziamo la tecnica open dove indicato. Ho anche pubblicato un articolo a riguardo dopo aver trascorso 3 mesi presso l’ospedale Mount Sinai di New York per una fellowship con un ortopedico famoso per la chirurgia mini-invasiva dell’alluce (DOI: 10.1177/10711007211031218 ).
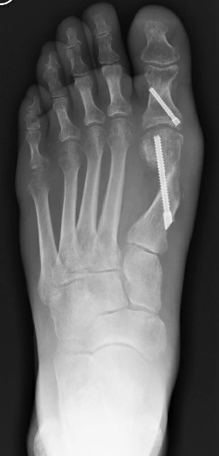
Come funziona l’intervento chirurgico?
La procedura chirurgica prevede, tramite l’utilizzo di tre mini-incisioni di pochi millimetri, la resezione parziale della cipolla, una osteotomia e il bloccaggio della stessa tramite una o due viti.

Tendenzialmente, al giorno d’oggi, si preferisce l’approccio mini-invasivo perché caratterizzato da incisioni minime, tempi chirurgici ridotti e recupero post-operatorio rapido e con meno dolore.
Falsi miti e curiosità sull’alluce valgo
Plantari e solette per alluce valgo possono riallineare l’alluce?
NO!
Ma possono curare alcuni sintomi che la deformità induce. La metatarsalgia, ad esempio, può essere curata con dei plantari. Se però il sintomo maggiore è la borsite, il plantare occuperà spazio nella scarpa e non sarà la risorsa ideale.
A quale specialista è necessario rivolgersi per la diagnosi e le cure?
La figura di riferimento per la diagnosi e la cura dell’alluce valgo è il medico chirurgo specialista in Ortopedia e Traumatologia.
Dal momento che la chirurgia ortopedica è diventata supersettoriale, è consigliabile rivolgersi a un professionista che abbia una superspecializzazione in Chirurgia della Caviglia e del Piede. Questa specializzazione avanzata offre generalmente uno scenario terapeutico e diagnostico più completo e aggiornato.
Esistono calzine che riallineano l’alluce?
No, ma indubbiamente può aiutare a ridurre gli attriti sulla borsite.
Ci sono delle creme che fanno passare il dolore?
Alcune creme applicate localmente possono ridurre l’infiammazione causata dal valgismo dell’alluce. Ne esistono sia a base di antinfiammatori, che a base di rimedi naturali come l’Arnica.
Crioterapia o terapia del ghiaccio per l’alluce valgo
La crioterapia è un rimedio eccellente per la gestione del dolore e dell’infiammazione.
In caso di borsite acuta o dolore post-attività, l’applicazione di ghiaccio (metodo tradizionale) sulla “cipolla” aiuta a ridurre il flusso sanguigno nell’area, limitando il gonfiore e fornendo un rapido sollievo antalgico.
Esercizio fisico: il rimedio più importante
Non esiste un esercizio che raddrizzi un alluce valgo, ma esistono pratiche che permettono al nostro corpo di usarlo meglio. Esercizi propriocettivi, esercizi di equilibrio, potenziamento muscolare.
Benessere generale
Se dobbiamo gestire un alluce valgo patologico, in primis facciamo esercizio fisico e mangiamo bene per ridurre le fonti di infiammazione. A tal proposito, verificare e mantenere i livelli idonei di vitamina D è il primo passo per predisporre il paziente a guarire, in caso di sintomi o in caso si pianifichi la chirurgia.
Se hai dubbi o sintomi, una valutazione specialistica è sempre il primo passo.
Dott. Marco Segina
Responsabile della sezione Fisioterapia Ortopedica e Sport del Poliambulatorio Fisiosan con sede a Trieste e a Muggia.
Amministratore della Polisportiva Venezia Giulia SSDarl – con sezioni Volley, Basket, BodyBuilding, Pesistica, Corsa, MountainBike.
Laureato in Fisioterapia con Lode C/o Facoltà di Medicina e Chirurgia di Trieste e Vincitore del premio miglior tesi di Laurea in Italia nel 2008 (Una nuova Scala di Valutazione delle Lombalgie).
Altri titoli:
Master Universitario in ecografia muscoloscheletrica per fisioterapisti e podologi;
Master Universitario in Osteopatia;
Diploma di Osteopractor (American Academy of Manipulative Therapy);
Diploma di Chiroterapia e manipolazioni vertebrali (Manipulation Italian Academy);
Diploma di Preparatore Atletico;
McKenzie method (level A,B,C,D,E);
Stecco method (I e II livello);
Dry Needlig cert. (American Academy of ManipulativeTherapy);
Spinal Manipulation cert. (American Academy of Manual Therapy);
McGill method (I,II,III livello);
Documentarion based care certificate instructor;
Istruttore di Functional Trainig;
Personal Trainer;
Tecnogym Exercise specialist.
